症例一覧
- K.Kさん(60代女性)の症例(大きな口蓋隆起が原因で不安定な義歯)
- N.Hさん(80代女性)の症例
(片側のみの総義歯、咬合力を支える力が上下で異なる為大変難しい) - T.Fさん(80代女性)の症例(顎の骨が不揃いに吸収している場合不安定になりやすい)
- M.Nさん(70代女性)の症例(何回作り直しても義歯が合わない)
お電話でのお問合せ・ご予約はこちらからどうぞ
052-241-1782
受付時間 9:30~18:00
この患者さんは歯を失くしてから5~6年、このようにたくさんの義歯を作られてきましたが、どうしても合わず当院にいらっしゃいました。
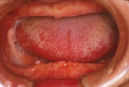
最初にご来院いただいた際のお口の中の写真です。
仮の義歯です。装着して口の中の動きを記録したりかみ合わせの調整をします。
左は顎に接する面です。ステップ3の検査・調整をした上で、右の写真の最終の義歯を作成します。
右の写真の方が全体に大きくなっています。小さい方が違和感がないのでは、と思われるかも知れませんが、実はこちらの方がぴったりとしてかんでも痛くない生理的な義歯ができるのです。
最終的な調整をしたあとに床を金属に変更します。
最終的に装着した写真です。
※19年前の写真のため、色合いがとても暗くなってしまっています。
顔写真掲載の許可をいただきました。長年の苦しみから解放されて、とても喜んでいただけました。
通常総義歯にすると口元にしわが入りがちなのですが、審美性も考慮して作製していますので、とても若々しい口元ができています。
これは19年前に作製しましたが、今まで一度も修理やリベース(義歯の裏側の合わない部分を盛り足して調整すること)せずに、今も快適にお使いいただいています。